
哺乳动物及禽类中一直有不同的冠状病毒流行,但这些冠状病毒大多仅限于感染特定种属动物,一般不能感染人类。同样,人间常见的几种冠状病毒也不感染其他动物。但是,来自蝙蝠的某些冠状病毒,如SARS和中东呼吸综合征(MERS)病毒,往往可以感染多种动物和人类。新冠病毒(SARS-CoV-2)目前在全球大范围的人群中流行,传入与人类密切接触动物的风险与日俱增。
2020年3月4日,香港渔护署晚确认,香港一名新冠肺炎患者的宠物狗已经低程度感染新冠病毒,这是当前世界所确认的第一个动物感染病例。
4 月 3 日,华中农业大学金梅林教授、中科院武汉病毒所石正丽教授合作在预印本平台 bioRxiv 上发表题为:《SARS-CoV-2 neutralizing serum antibodies in cats: a serological investigation》的研究论文。此项研究表明,SARS-CoV-2 在疫情爆发期间感染了武汉的猫群,在调查样本中,14.7% 的猫可以通过间接酶联免疫吸附实验(ELISA)检测到新冠病毒的存在。
3月27日,纽约布朗克斯动物园中一只4岁马来虎出现干咳、食欲减退等症状,4月2日接受了病毒检测。4月5日,新冠病毒检测呈阳性,成为美国首只感染新冠病毒的动物,也是全球首次发现老虎感染新冠病毒案例。
随着动物感染新冠病毒的消息不断曝出,人类与动物之间是否存在互相传播,哪些动物能感染新冠等成为了最关心的问题。与此同时,一些“吃猪肉会感染新型冠状病毒”的谣言在网上流传。因此,了解家养动物对新冠病毒的易感性非常重要。
近日,中国农业科学院哈尔滨兽医研究所步志高研究员团队、陈化兰院士团队和中国CDC病毒病预防控制所武桂珍研究员、谭文杰研究员等在《科学》杂志上在线发表一篇名为《Susceptibility of ferrets, cats, dogs, and other domesticated animals to SARS–coronavirus 2》的科研论文。
该论文系统研究了与人密切接触的犬、猫、猪、鸡、鸭等常见宠物、家畜禽及模式实验动物雪貂对新冠病毒的易感性。通过实验感染新冠病毒,观测接种动物及同居动物的临床表现及病理变化,检测器官组织病毒载量、呼吸道和肠道病毒排放及动物体内针对新冠病毒抗体转阳情况。
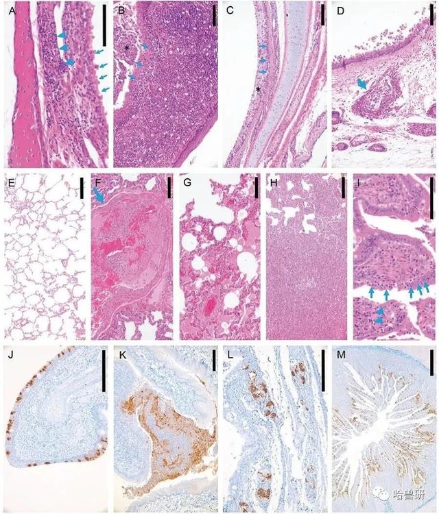
结果发现,新冠病毒在犬、猪、鸡和鸭复制能力很弱,但能在雪貂上呼吸道和猫的呼吸系统及消化系统高效复制。实验感染猫能够通过空气传播新冠病毒至猫;部分猫感染后可导致严重发病甚至死亡,低龄猫发病明显较大龄猫严重。组织病理学观察证实,病毒感染猫可引起不同程度的肺脏炎症与肠道粘膜损伤;免疫组化研究发现上呼吸道(鼻腔、上颚、扁桃体)粘膜上皮及嗅球细胞、气管及支气管粘膜黏液腺上皮细胞、小肠粘膜上皮等部位存在大量病毒感染(图)。
研究结果表明,雪貂可用作新冠病毒疫苗和药物评价动物模型;犬、猪、鸡和鸭对新冠病毒不易感;猫对新冠病毒高度易感。此项研究具有重要指导意义;更重要的是该研究呼吁密切监测和保护疫区的猫,避免其接触传染源,防止其成为可能的传播宿主或储存宿主。
论文链接:https://science.sciencemag.org/content/sci/early/2020/04/07/science.abb7015.full.pdf
图. 新冠病毒在感染猫呼吸系统及消化系统高效复制,引起病理损伤和炎症反应

病毒感染后3天病死或安乐死猫组织病理学及免疫组化研究。(A)鼻粘膜上皮排列紊乱,纤毛脱落 (箭头),固有层淋巴细胞侵润(箭头)。(B) 扁桃体上皮细胞变性、坏死,粘膜上皮(星号)表面覆盖细胞碎片及中性粒细胞(箭)。(C)气管粘膜上皮变性、坏死(箭),表面覆盖混有大量细胞碎片的黏液(星号)。(D)气管黏液腺上皮坏死,淋巴细胞侵润(箭)。(E)未感染病毒猫肺正常组织结构。(F)肺血管内炎症细胞聚集,纤维蛋白凝结形成(箭)。(G)肺泡内即肺泡间隔大量巨噬细胞及淋巴细胞侵润。(H)肺泡及肺泡间隔炎性侵润和增生。(I)小肠上皮部分细胞变性、坏死,固有层中等程度淋巴细胞侵润(箭)。(J)鼻甲粘膜上皮细胞大量病毒抗原阳性(棕色)。(K)扁桃体粘膜上皮及粘膜表面脱落细胞大量病毒抗原阳性(棕色)。(L)气管黏液腺浆液细胞大量病毒抗原阳性(棕色)。(M)小肠粘膜上皮细胞大量病毒抗原阳性(棕色)。标尺线 A, I = 100 μm, B-H, J-L = 200 μm, M =500 μm.
来源:哈兽研
