误吞鱼刺之后,不少人会习惯性地吞饭团企图解决问题。殊不知,这种做法不但解决不了问题,还可能暗藏危机!68岁的梁婆婆(化名)最近就因此差点出了事!
险!鱼刺威胁主动脉腔,稍有不慎可能大出血
10月5日,梁婆婆吃鱼时不小心吞下鱼刺,出现胸骨后疼痛。她怀疑是鱼刺卡在食道,于是多次吞饭团,企图将鱼刺吞落肚。但吞完饭团后,胸骨后的疼痛症状不但没有缓解,反而加重了。在家人的敦促下,梁婆婆到家附近的医院就诊。医生为她做胸部CT检查,发现鱼刺卡在她食管中段,怀疑已刺穿食管管壁、靠近胸主动脉!
鱼刺卡在这个位置,很棘手,阿婆家附近的医院医疗技术有限,于是,匆匆来到广州医科大学附属第二医院(简称“广医二院”)耳鼻咽喉科就医。为了进一步明确鱼刺的位置,搞清楚它与大血管之间的关系,该科医师立即联系放射科为阿婆做胸部CT平扫+增强检查。值班医师阅片发现,鱼刺已穿破阿婆的食管壁和胸主动脉内侧壁!
据广医二院耳鼻咽喉科主任翟锦明介绍,主动脉是人体经心脏发出的最粗大的血管,如果鱼刺不能及时、安全地取出,一方面会导致食管、主动脉破口感染,另一方面,如果主动脉破裂,可致大出血,情况十分危急!

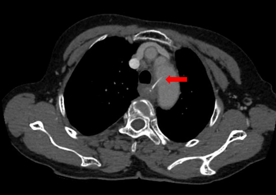
CT显示鱼刺穿破阿婆的食管壁和胸主动脉内侧壁。
紧急手术!多学科医护团队协作成功“拆弹”
广医二院耳鼻咽喉科、微创介入科、心胸外科、消化内科、麻醉科等相关科室的医护人员放弃国庆假期休息时间,迅速集合,开展多学科会诊,商讨救治方案。
多学科团队认为,如果采用传统内镜手术或开胸手术取异物,风险极大,于是决定采用先进的主动脉腔内隔绝术,通过阿婆的股动脉将主动脉覆膜支架系统送入其体内,配合内镜下取出鱼刺。
随后,梁婆婆在全麻下接受手术。广医二院微创介入科医生先将主动脉支架预先植入到位,接着,消化内科医生在内镜下找到鱼刺并将它夹住。接下来拔刺的步骤极为关键。因为一旦鱼刺拔出后,主动脉破口封堵不及时,有可能导致大出血。所以,拔出鱼刺和封堵支架的操作必须无缝衔接。手术团队密切配合,消化内科医生夹住鱼刺将其拔出,微创介入科医生马上释放支架将主动脉破口封堵住。一拔一封,只用了5秒钟!两个关键的手术步骤无缝衔接,大大地减少了术中的出血量。

左:内镜下可见鱼刺刺入食管;右:手术中医生用异物钳夹紧鱼刺。

广医二院多科室协作为阿婆“拆弹”。

取出来的鱼刺。
历时1小时,手术顺利完成。在多学科保驾护航下,手术团队成功帮阿婆“拆弹”,取出长近3厘米的鱼刺。
警惕:鱼刺虽小,处理不当也危险
广医二院耳鼻咽喉科专家提醒,食管异物在临床上很常见,容易发生各种并发症。当异物(尤其是尖锐的鱼刺)刺破食管管壁、刺伤主动脉弓,甚至扎入胸主动脉腔内,十分危险。如果处理不当、不及时,可能大出血。
那么,遇到鱼刺、骨头卡喉,该怎么处理呢?不少人可能会像梁婆婆那样吞饭团,或者是吞馒头、喝醋等,希望将鱼刺“带”下去。专家指出,这些“土法”都是错误的,一旦处理不当,不仅增加了取出异物的难度,甚至更易划伤食道和血管,可导致感染、出血等严重后果。所以,如果误吞了鱼刺、骨头等,建议还是第一时间上医院尽快将其取出为妥。
文/广州日报·新花城记者:翁淑贤 通讯员许咏怡
图/广州日报·新花城记者:翁淑贤 通讯员许咏怡
广州日报·新花城编辑:李津
