日前,
广州一女子持续多日高烧未退,
且陷入昏迷,
最终查明是感染了李斯特菌,
而感染原因,
有可能是食用外出聚餐打包回来
放冰箱里的炒鸡饭。

医生提醒,
李斯特菌号称“潜伏的冰箱杀手”,
冰箱并非食物“无菌柜”,
市民朋友要注意饮食卫生。
高烧多日未退,最高烧到42℃
家住广州黄埔的陈女士(化姓)今年56岁,自退休后,她工作日在家帮忙带孙子,周末就约上好姐妹外出游玩品尝美食,日子过得舒适自在。11月1日,陈女士突然有些发热,以为是普通感冒,便在小区里的诊所问诊。
然而对症治疗后,不仅烧没退(已做了核酸检测),还出现了抽搐的症状。“精神很差,在家晕了过去。”陈女士的妹妹陈姐说,家属随即将她送往附近医院。
在当地医院,陈女士不仅昏迷不醒,还一直高烧不退。“在ICU住了4天,体温最高烧到42℃,基本都徘徊在39℃,冰敷都不能把体温降下来。”回忆起当时的情形,陈姐至今仍心有余悸。
为寻求进一步诊疗,11月16日,陈女士在家属的陪同下,辗转来到广东三九脑科医院。
医生查明是“李斯特菌”感染
该院接诊的神经内二科主任钟水生结合患者的病史和体征,认为是颅内感染的可能性较大。最终,在患者的脑脊液及血清中找到了李斯特菌,进一步证实了钟水生的判断。给予抗感染等对症治疗后,陈女士的症状逐渐好转,将于近日出院。
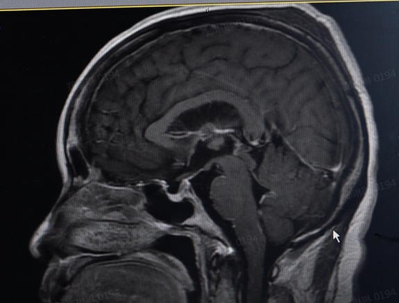
患者影像片显示,颅内有脑膜广泛强化,提示存在颅内感染。
原来,主管医生唐晓梅在追问病史时了解到,患者在发病前两天,曾吃了聚餐时打包回来存放在冰箱的炒鸡饭。“当时就觉得那个饭不大对劲。”陈姐说。

患者术后恢复。
“怀疑是食用不卫生食物导致的细菌感染。”钟水生介绍,李斯特菌病是危害最严重的食源性疾病之一,具有超强的“杀伤力”,但是否会引起感染,取决于个体的年龄与免疫状况。“免疫功能正常的人吃了被李斯特菌污染的食物一般不会得病,或只有轻微的症状,但很快就能自愈。但对于孕妇、老人、儿童等免疫力低下的人,很可能致命。”
医生提醒
李斯特菌在自然界广泛分布,在0-45℃都能生存,尤其在冰箱的冷藏温度下仍可以生长繁殖,因此也被称为“潜伏的冰箱杀手”。
钟水生提醒,冰箱要定期清洗或消毒,存放在冰箱的食物要生熟分开,并且冷藏过的熟肉制品再次食用前要彻底加热。“特别注意尽量避免食用未经巴氏消毒的牛奶、软奶酪等高危食品。”
