每个人吃东西的口味原本
就都不太一样
正所谓“萝卜青菜各有所爱”
但这些都是正常的食物
但有些人就喜欢
吃奇奇怪怪的东西
注意是“东西”
比如
沙子、土、木头、头发
....
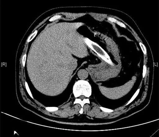
一节、二节、三节……总共有五节,其中四节是折断的衣架,一节是塑料管。这些从病人胃内取出的异物直径约为0.8厘米至2厘米,长度11-15厘米。

这是近日发生在
海口市人民医院消化内科的一幕
该患者今年58岁,3个月前,他将塑料衣架折断后吞进肚子里,同时塞进去的还有一节塑料管。近日该患者感觉肚子隐痛才来医院就诊。经CT扫描和病人自述,大家都惊呆了。

10月29日
经过充分准备
该医院消化内科主任陈正义在麻醉医师
护士的配合下先试行内镜取出
因异物表面光滑且粗大
通过现有器材较难抓取
陈正义便通过
配合使用异物钳、圈套器等
不断调整角度及位置
最终将这几节衣架和塑料管全部取出
使病人免遭开刀之苦
医生提醒
如误吞异物,请及时就医。采用大口吞食馒头或米饭、喝醋等方法都是错误的,会加重消化道黏膜的损伤。如果发生出血、穿孔等情况,还会危及生命。
来源:记者 钟起的(图片海口市人民医院提供)
