肺移植,可能是萌萌唯一的希望。
1月5日,距离河北少女萌萌被姐夫投毒百草枯,已经过去整整一个月。她急需进行肺移植手术。
“九派新闻”报道,萌萌今日已从河北省人民医院转院至中国人民解放军总医院第八医学中心(原中国人民解放军第309医院),进入ICU接受后续治疗。

3日下午,萌萌妈妈用手机拍下了女儿的状况。躺在病床上的萌萌脸色苍白,插着氧气管维持着呼吸。她难以用言语表达身体状况,只能以摇头示意。
剧毒、致死剂量仅为5-15ml,无特效药......但百草枯中毒也并非无法医治。在全国治疗百草枯中毒最有经验的山东大学齐鲁医院,截至2017年,收治的2966名中毒者中,治愈率高达61.8%。
一例喝下100ml百草枯的患者被成功救治,齐鲁医院在《超致死剂量百草枯中毒患者成功救治1例》中总结:
及时洗胃(1h)、及早进行血液净化(2-4h)、及时给予足量的激素,并辅以免疫抑制剂等药物治疗。
3个“及时”。一位三甲医院重症医学科医生曾对“医学界”表示,萌萌中毒后近半个月才确诊,毒素该吸收的都吸收了,洗胃、血液净化等手段已没什么意义。
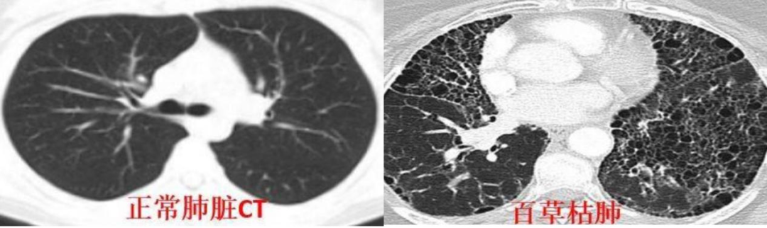
百草枯的靶器官是肺。这位医生说,肝、肾等损伤都是相对可逆的,只有肺纤维化不行。“中毒患者的肺就像‘丝瓜瓢’,满目疮痍,靠着生命维持系统能延续生命,但机器一撤,很多人立马就不行了。”

肺移植,可能是萌萌唯一的希望。
百草枯中毒患者的肺移植
“与常见肺移植不同的是,时间点上,百草枯中毒患者并非越早手术越好。”广州医科大学附属第一医院胸外科和器官移植科主任医师徐鑫对“医学界”表示。
2017年起,广州医科大学附属第一医院接连成功为4例百草枯患者完成肺移植,平均换肺时间在中毒后的一个月,术后患者均恢复良好。作为救治团队的核心成员,徐鑫医生介绍:
百草枯对肝、肾脏等器官也有损伤,如果这些器官没有恢复到一定水平,单纯换肺,失败几率很大;
百草枯代谢速度慢,即便血液里没有了,也仍会存在于骨骼肌、脂肪等部位,需要下降至一定的指标方可手术。
徐鑫医生告诉“医学界”,决定做肺移植,那肺部损伤程度就不是临床上最主要的考量,关键在于通过各类辅助治疗,患者能否撑过其他器官的恢复期。“以肝脏为例,如果术前肝功能没有恢复,凝血功能会受影响,肺移植过程中很有可能出血不止。”
《百草枯肺移植一例及文献复习》一文指出,由于病例数过少,不适合统计学分析,但目前形势是随着移植天数的增加,存活时间也呈正比例上升。
徐鑫医生表示,由于不清楚萌萌目前的临床治疗情况,无法下准确判断,但总的来说,百草枯患者进行肺移植,也不是拖越久越好。
“有的患者得上ECMO维持生命,但ECMO用久了也会影响凝血功能。同时患者‘躺’的时间越久,身体各项机能衰退也越厉害,影响手术成功率和术后康复。”
而即便肺移植成功,体内残留的百草枯也会影响预后。在多例已有报道的百草枯肺移植成功案例中,直至出院前,患者体内依旧能测到一定量的百草枯。
“残余的毒素要代谢多久,后续对患者身体产生多大影响,这个因人而异了。”徐鑫医生表示,对于萌萌来说,目前最大的“优势”是年龄,年纪轻,肝、肾等各脏器恢复相对快一点,术后的康复情况也会更好。
“如果能顺利撑到肺移植,还是有很大希望的。”徐鑫医生说道。
由于治疗费用昂贵,萌萌家属已在网上发起筹款,截至4日下午1时许,水滴筹显示,已筹集到32万余元。
在中国,肺移植等待供体的时间平均在3个月左右,希望萌萌能够尽快等到匹配的供体出现。
