很多人都有定期掏耳朵的习惯
但这个习惯有多可怕
很少有人意识到
被掏伤的耳朵
有的长满了密密麻麻的“菌菇”
有的还感染了脚气!

今天,武汉大学中南医院耳鼻咽喉头颈外科专家李双,就来给咱们说说掏耳朵的那些事。

耳屎学名其实叫
耵聍(dīng níng)
它是由耳道耵聍腺分泌出来的蜡质分泌物,还混有灰尘和皮屑,一般呈灰色、橙色或淡黄色。成分为60%的角蛋白,12-20%饱和或不饱和脂肪酸、醇类、角鲨烯,以及6-9%的胆固醇。总之,人家其实不是“屎”。

为何人们爱掏耳屎?
耳道很敏感,有丰富的神经末梢,当掏耳勺和棉签触碰摩擦时,受到刺激,会产生舒适感、满足感。另外,很多人认为身体的犄角旮旯都应该保持卫生,理所当然认为耳道也需清理。

1、耳屎对耳朵有保护作用
耳屎附着在外耳道皮肤表面,像一层膜,可以阻挡细菌、灰尘、小虫子、水等等的侵入,保护外耳道和鼓膜。灰尘嘛的,飞进来就给“pia”地粘住了。小虫子也不喜欢耳屎的味道。耳屎还能维持耳道温度、湿度,抑制细菌滋生,作用大大的。
2、耳朵能自洁,耳屎会自己离开
有人问:耳屎长期不掏,难道不会堵吗?
其实,只有极少数人,耵聍会聚集成块,堵住外耳道,这种情况叫耵聍栓塞。我们平时说话、咀嚼食物、弯腰、睡觉翻身、运动时,耳屎会默默地自行掉出。你可能都没察觉到。

所以说不建议大家长时间戴耳机(尤其是戴着耳机入睡)也有这个原因,耳机堵了耳屎的路啊!耳屎少了多少次跑掉的机会……

3、耳屎越掏越多
耳屎是不断分泌的,越刺激耵聍腺,可能分泌得越多。

1、影响听力,引起耳鸣
用工具去掏耳屎,可能会将耳屎越推越深,压迫鼓膜,从而可引起眩晕、耳鸣等;如果压迫外耳道后壁皮肤,可因刺激迷走神经耳支而引起反射性咳嗽;若洗澡进水吸水膨胀(耳屎泡发了),可让听力瞬间下降(然后你又拿起了神器小棉签)。
2、引发感染
外耳道很娇嫩,自己掏耳朵力道不对,或者工具稍硬,很有可能损伤外耳道。一旦有一丁点破损,耳朵原有的微生态环境就会被破坏,潮湿度发生变化,可能致使真菌滋生,引发感染,出现疼痛、瘙痒甚至流脓。
3、鼓膜穿孔
万一手抖,掏耳工具可能会伤及鼓膜或听小骨,造成鼓膜穿孔,甚至听骨链损伤。
以下就是中南医院耳鼻咽喉头颈外科遇到的真实案例:
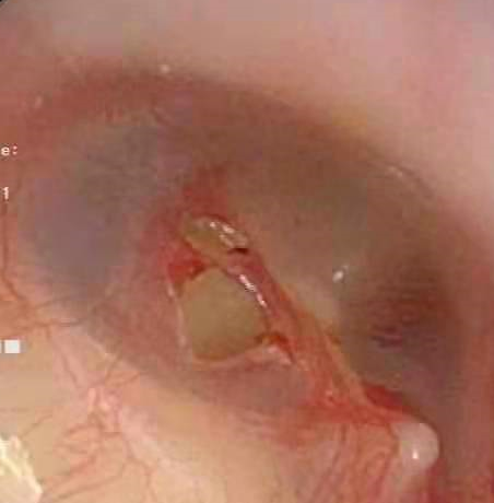
真菌感染,耳内长满金针菇似的霉菌

(左滑查看)
鼓膜穿孔


(左滑查看)
问
用小棉签轻轻地掏行不行?
答:有人认为棉签头很软,每次洗完澡吸吸耳朵的水,顺便掏出一大坨耳屎,很是舒坦。但是无论是掏耳勺还是棉签还是你的小手指,都会将耳屎越推越深。
问
用带探灯的不伤耳掏耳神器?
答:网红小神器再怎么神,也不能和医疗级的器械相比。而且你还是自己掏,手法、力度也不能和专业医生比。
问
那我去专业采耳店找专业师傅?
答:小心得脚气。
脚气,医学上叫足癣,由真菌引起,如果传到了耳朵,是可能引起真菌感染的。想进采耳店采耳,得留个心,首先,师傅是否培训到位?其次,店内环境、工具是否消毒到位?上一位顾客是否是抠脚大汉?
不信来看哈各地的新闻。


耳屎什么情况下才要掏?
一般情况下,不掏。有人问耳朵痒啊,就是忍不住掏怎么办?
注意!痒,那你真的需要掏了!
因为耳朵在发警报!痒,可能代表已有感染发生。此外,有闷胀感、疼痛,也需要引起重视。但请务必!到医院的耳鼻喉专科找医生操作!

3月3日是全国爱耳日。耳朵是人体最努力最敬业的器官之一,白天工作,晚上其他器官都休息,它还要坚守岗位,随时听闹铃响。人就这么两只耳朵,请好好爱护它们!
小布给大家几点护耳建议:
远离噪音伤害。
耳机不要长时间戴,定期清洁耳机。
远离烟酒。饮酒吸烟可使血管痉挛,血循环障碍导致突发性耳聋的发生。
不要熬夜。生活不规律,精神压力增大,失眠,皆是突发性耳聋产生的诱因。

