一到夏季,出门热得满头大汗,进门只想吹空调,频繁冷热交替,稍不注意就容易得感冒!

但要提醒大家的是,除了普通感冒,近期还需要警惕一种疾病“流感”,可别以为“流感只是大号感冒”,据深圳市儿童医院消息,最近半个月,7个重症流感孩子进了ICU,“感冒”第二天5岁娃进了ICU,昏迷13天至今未醒
这天,5岁的悦悦(化名)有点流鼻涕,还一个劲说冷。爸爸给她量完体温发现39℃!
好在,家里还有退烧药。喝了药后悦悦的烧暂时退了,然而没多久体温又升起来了。就这样折腾了一晚上后,第二天烧不仅没退,反而飚到了40℃!孩子还吐了两次,人也渐渐蔫了。悦悦爸赶紧带着她前往儿童医院看急诊。
检查完后,医生表示“情况不大好,建议住院治疗。”住进病房几个小时后,悦悦突然开始抽搐,反应也越来越差,渐渐地陷入了昏迷。
紧急抢救后,她被转入重症监护病房(PICU)。然而,病情正在快速恶化:孩子的自主呼吸越来越少,血压也在下降。
上心电监护!气管插管!上呼吸机!注射降压药!
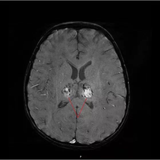
核磁共振检查发现:她的脑部发现丘脑对称性病变,这是典型的急性坏死性脑病!进一步检查后,“祸首”被揪了出来: 乙型流感病毒 。
急性坏死性脑病,正是流感的严重并发症之一,死亡率很高!
悦悦脑部出现病灶(图源:深圳市儿童医院)
拿到病危通知单,悦悦的家人泪如雨下。原以为只是个“小感冒”,没想到短短两天,孩子就生死一线了!
几天的抢救后,悦悦的病情有所好转,医生正准备撤下呼吸机。但孩子至今仍还在昏迷中。医生判断,即使醒过来,也还有漫长的康复之路要走。
悦悦还在ICU治疗(图源:深圳市儿童医院)
据了解,最近半个月,深儿医重症监护室(PICU),已收治7例重症流感患儿,其中2人出现相关脑病,5人出现重症肺炎,究竟什么是流感?流感与普通感冒有什么区别?一起来了解
流感高发季,这5类人群要特别小心
流感(俗称“流行性感冒”),是一种传染性极强的呼吸道传染病。
它可以通过咳嗽、说话时喷出的飞沫传播,也可以通过接触病人或被污染物品传播。如果手摸了被病毒污染的地方,又去抠鼻子、揉眼睛、吃东西,就可能被传染。
在流感高发季,这5类人群要特别小心——
5岁以下儿童,尤其是2岁以下儿童;
65岁以上老年人;免疫力差、伴有各类基础性疾病的人群。尤其是有慢性呼吸系统、心血管疾病、血液系统疾病等基础性疾病或者是免疫力缺陷的人群;肥胖群体,BMI达到30以上的人群;
孕妇。
当然,流感也不只是“欺负”身体弱的人,即使是经常撸铁锻炼的人,也可能会被流感“征服”,进而出现严重的并发症。
流感“杀伤力”有多大?
全球每年约有300万~500万重症流感病例,死亡率约10%。每年约20%~30%的儿童,会感染季节性流感。也就是说,几乎每4个孩子就有1个患上流感。其中,5~9岁儿童感染率最高。大约30%的流感儿童,会发生并发症。5岁以下儿童以及具有慢性基础疾病的患者,出现重症的风险较高,是流感相关住院和死亡的主要人群之一。
流感和普通感冒怎么区分?
流感和普通感冒,都可能有上呼吸道症状,比如鼻塞、流鼻涕、打喷嚏、咳嗽、喉咙痛,都有传染性。但是,相比普通感冒,流感全身症状比较重,主要症状是高烧、头痛、咽痛、肌肉酸痛等。
需要注意的是,普通感冒极少发生并发症;而流感容易出现肺炎、心肌炎、脑炎等并发症。

但预防流感是最好的办法,还是接种疫苗!每年一次!
通常,接种流感疫苗后,需要大约2~4周才能产生具有保护水平的抗体。
所以,建议大家每年10月底之前去打疫苗,这样到流行高峰时恰好产生保护性抗体。如果来不及在10月份接种,整个流行季也可以接种。
建议大家如果身体有不适的话,还是尽早去医院吧,做一些必要的检查,早诊断、早治疗、早康复!
