
作者:鸣玉
很多潮汕人说,生腌是那种只有吃零次和无数次的“慢性毒药”。
炎炎夏日,有什么比冰镇后的生腌更令人快乐的呢?沙虾清甜肥厚,血蛤肉质脆嫩,青膏蟹细嫩鲜美、入口时还带着一点冰沙感……即使对刺身无感的食客,也很难不为生腌心动。
然而,生腌再美味,也不得不直面一个很大的问题——寄生虫。
美食作家蔡澜就曾遇到过:“香港的回转寿司店买到了(鲣鱼)就那么切来当刺身......一开来,腹壁中长满一粒粒的黄色小肿瘤,里面包的全是幼虫。”
无论是潮汕本土的生腌、鱼生,还是进口的冰鲜刺身,这些生食水产都有一个相似之处:你也许永远不知道面前的这一盘里是不是藏着一个“虫窟”。

一口新鲜生鱼片,吃到几条寄生虫
“现宰现杀生鱼片,绝对新鲜,绝对放心。”
如果你见到打着这样宣传口号的餐馆,千万别进!没有经过任何处理的新鲜生鱼片,很可能是寄生虫的“家园”。
鱼类感染的寄生虫种类非常多,但是,只有少数寄生虫会致人生病。
“华支睾吸虫”,又叫“肝吸虫”,是中国淡水鱼中最常见的一种致病寄生虫。当食用了被肝吸虫感染的生鱼片后,其虫体便主要寄生在人体的胆管、胆囊内,引起胆道一系列病变,比如胆管炎、胆囊炎、胆结石等[1]。
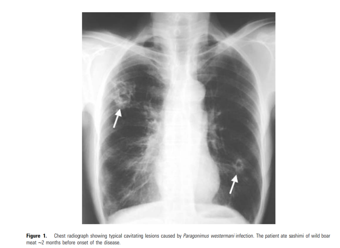
一位吃了生鱼片后,感染肺吸虫的病患。放射图中箭头所指的即肺吸虫造成的病灶
华支睾吸虫的成虫可寄生在胆管中长达 20-25年[2]。当虫体过多时,死亡的虫体、 虫卵及黏蛋白长期阻塞胆管,还会引起胆汁性肝硬化、细菌感染等[1][2]。
已经有研究证明,华支睾吸虫感染者发生胆管癌的风险是非感染者的4.5~6.1倍[3]。
所以,你生吃的新鲜水产,也可能是大名鼎鼎的胆管癌Ⅰ类致癌物[4]。
这种寄生虫在淡水鱼中分布的广泛性,可能超乎你的想象。中日韩的139种淡水鱼都有它的存在。即使是常见的家养鱼种,比如鲤鱼、鲢鱼、清鲩(草鱼)、鲫鱼等,也不能避免[1]。
2010年,广东各地35个鱼塘的抽检结果显示,所有抽检的鱼塘,将近七成都感染了华支睾吸虫。顺德人最爱用来制作鱼生的鲩鱼(也即草鱼),华支睾吸虫的检出率是47.31%[5]。
晶莹白嫩、配料丰富的顺德鱼生。该地鱼生多使用草鱼 / 图虫创意
按照这个检出率,每吃两条未经任何处理的草鱼生鱼片,你就可能跟肝吸虫打个照面。
而有吃生鱼片饮食习惯的省市,华支睾吸虫的感染率都非常高。
2015年,全国35省人体重点寄生虫病感染现状调查,两广地区的感染率明显高于其他省份。广西华支睾吸虫感染率为6.68%,广东为1.91%[6]。
这是什么概念呢?
如果按照当时两省常住人口数量粗略估计,两广华支睾吸虫感染规模约为527.6万人[6-8]。
有人会说,“淡水鱼寄生虫多,不适合生吃。相比之下,海鱼比淡水鱼更安全。海鱼寄生虫更少,而且因为渗透压和海水的高盐环境,寄生虫不能在人体存活。”
这话只说对了一半。
有些生腌完美结合了“生食+淡水水产”两大危险因素,可以说是“最美丽的最危险”了 / 图虫创意
海鱼确实比淡水鱼安全一些,海鱼的寄生虫种类(划重点,种类)整体上确实比淡水鱼少。但淡水鱼和海水鱼寄生虫的感染率是差不多的[9]。
一些海鱼的寄生虫,同样是致病的。
就拿海鲜刺身最常见的一种寄生虫——异尖线虫来说,人体确实不能提供最适宜的生存环境。
吃到肚子里的异尖线虫多是幼虫,它们并不会长大,但也不会死亡。它们在你的体内吃喝拉撒,有时还会成群结队地旅行,医学上称其为“内脏幼虫移行症”。它们死亡后,尸体埋进胃壁形成芽肿,有时还会引起严重的过敏反应[10]。
吃到这种寄生虫,严重者会引起剧烈腹痛和呕吐。游弋到胃肠道里的异尖线虫没有特效药,一旦感染,只能胃镜钳出[11]。
做胃镜已经够酸爽了,何况还需要医生伸进去夹出寄生虫 / 图虫创意
光是想想,胃已经在痛了。
而这种寄生虫,在海鱼中分布同样非常广泛。
一项专门针对浙江省舟山渔场鱼类异尖线虫感染情况的调查显示,29种444尾海鱼,218尾都被检出了异尖线虫的幼虫。海鱼的总感染率为49.1%[12]。
其中一条38cm长的鲐鱼,携带了114条异尖线虫幼虫[12]。
所以,食用新鲜宰杀、没有经过任何处理的生鱼片或者腌制的生海鲜,你很可能有机会品尝到同样新鲜、原汁原味的寄生虫,是不是很刺激?

怎么吃生鱼,才能把风险降到最低
那么问题来了,在生鱼的食用安全这件事上,还有解吗?
以日本为例。酷爱刺身和寿司的日本,过去也曾备受寄生虫病困扰。但也因此,日本在生鱼片食用上积累了大量经验。这些年,日本寄生虫感染规模已经没有那么严重。
网上流传的“蘸醋、蘸芥末可以杀灭寄生虫”说法都不靠谱,选择生食就会存在一些风险 / 图虫创意
2020年,根据厚生劳动省公布的最新数据,日本因寄生虫导致的食源性疾病有386件,患者484人。其中,生食海鲜最常遇到的异尖线虫的致病人数只有396人[13]。
鲜鱼捕捞和宰杀后,经过一定处理,是可以规避掉很多寄生虫风险的。
首先,刺身鱼的不同产地、不同品种,携带的寄生虫种类、数量也不尽相同。淡水鱼和一些高感染率的海鱼品种基本可以排除在外。
比如,正宗日料店较为常见的“三文鱼刺身”大多是挪威进口的人工养殖的大西洋鲑鱼。
这种大西洋鲑的养殖条件极为严格。先在陆地上的养殖车间内完成亲本产卵和鱼苗培育,再通过活鱼船转运到海上,利用深水网箱进行养殖。每一批鱼卵都有完整的生产档案记录,养殖取水经过消毒杀菌后流入养殖池,投喂的是经过经过加热处理没有寄生虫的饲料[14]。
三文鱼养殖场 / 图虫创意
这样严格选育出的挪威大西洋鲑,直接生食感染寄生虫风险是非常低的。
一项涉及挪威37个鲑鱼养殖渔场的大规模采样发现,在3525条养殖的大西洋鲑中,均没有发现任何寄生虫。仅在3条发育不成熟的大西洋鲑的胃里发现了2条异尖线虫和几条不会对人体造成危害的寄生虫成虫[15]。
鱼种、产地、养殖方式靠谱,吃到寄生虫的概率会低很多。
不过这还不够。降低吃生鱼片感染寄生虫的风险,FDA提供了1个必须途径——满足一定条件的冷冻。
方案一:在-20℃及以下环境温度中冷冻和储存7天;
方案二:在-35℃及以下环境温度中冷冻和储存15小时;
方案三:在-35°℃及以下的环境温度中冷冻,并在-20°C及以下的环境温度中储存24小时;
以上3个方案可能不适合冷冻特别大的鱼(例如,厚度大于6英寸)
经冷冻处理的三文鱼肉 / 图虫创意
关于冷冻的杀虫效果,在FDA的食品安全法规里称其“足以杀灭寄生虫( sufficient to kill parasites)”[16]。
中国的生鱼片,也是有标准可依的。
在2015年发布的《食品安全国家标准 动物性水产制品》文件里,有明确规定“即食生食动物性水产品”,需要达到“不得检出吸虫囊蚴、线虫幼虫和绦虫裂头蚴等寄生虫”[17]。
一般来说,正规生产企业都会执行这个标准,产品先上市再接受抽检。不光如此,致病菌、重金属都在检测范围内,餐饮流通的各个环节也面临监督抽查和风险监测,从而尽可能地降低食品安全风险。
正规渠道购买的、经检测的海鲜,大部分是安全的。
日料店厨师正在制作生鱼片 / 图虫创意
当然,“正规渠道”最起码是得有固定摊位和营业执照的,流动小摊贩是抽检的漏网之鱼。
通过养殖、品种、冷链运输、仓储环境、抽检等一系列的严格控制,99分安全的生鱼片确实是存在的。
至于剩下的1分,这就要看经验和运气了。

要想100%安全,劝你还是别吃
对于消费者来说,谁都不能保证1%的“中奖”概率不会落到自己头上。生鱼片的整个制作过程是一个黑箱,不可控因素实在太多了。
比如杀死寄生虫最为关键的一步——冷冻。一旦达不到温度条件和要求的时长,感染寄生虫的风险就不会低。
2019年,一篇发表在《寄生虫学研究》期刊上的论文就发现,未按FDA和欧盟要求进行冷冻,试验中鲱鱼体内的异尖线虫的幼虫没有完全死亡。冷冻24小时后,取出样品在显微镜下观察,还能看到幼虫在活动[18]。

用来吃刺身的鱼是不能直接这样售卖的。一是应该立刻解剖、去除内脏。否则寄生虫会从其胃袋、肠子、肝脏、体腔和生殖腺游弋到全身各处,二是应该达到FDA规定的储存温度 / 图虫创意
生腌店、日料店、鱼生店里,店家有没有严格执行冷冻标准,消费者无从得之。在电商平台上,有很多商家宰杀后就立刻装箱配送,配送温度-4℃,建议储存温度为-18℃。
除了冷冻,餐饮店供应的鱼种也可能存在问题。
以虹鳟为原料的“三文鱼刺身”曾一度风靡中国的餐饮店铺。但这种“三文鱼刺身”寄生虫感染风险非常高。
虹鳟和大西洋鲑,商品名都叫“三文鱼”,但实际上根本不是一个东西。前者是淡水鱼,接触到的寄生虫种类多,但养殖方式和除虫处理却未必能达到“生食三文鱼”的标准。只是因为肉质色泽和纹理跟大西洋鲑长得很像,有些卖家就宣称自己卖的是“淡水三文鱼”,价格还不便宜。
虹鳟是淡水鱼,寄生虫感染的风险很高 / 图虫创意
对于不那么懂行的普通消费者来说,买贵的确实比便宜的风险低。但怕就怕,你用大西洋鲑的价格买到了虹鳟鱼。
2018年,澎湃一则调查新闻深挖了国内的“三文鱼”市场。中国每年消费的9000余吨“三文鱼”,并非来自遥远的深海,而是黄河的一个水库。中国每年4万吨产量的虹鳟鱼,达到合格生食标准的虹鳟鱼不足三分之一[19]。
退一万步讲,你吃的海鲜里没有寄生虫,但生食还有太多不可控的风险。
在处理、加工或准备过程中可能会受到污染。它是否在适当的温度下储存和运输?有没有与受污染的其他海鲜或海水接触造成的交叉污染?它是否携带甲型肝炎病毒、沙门氏菌、创伤弧菌[10]?
事实上,日本每年食物中毒的事件中,细菌和病毒感染远比寄生虫感染更严重、更常见[13]。
而远离上述所有危险、实现100%安全的方法,其实很简单,加热。
铁锅炖胖头鱼不香吗 / 图虫创意
撒点胡椒海盐,或是滴几滴豉油,不管是煎炸、还是蒸煮,它不香吗?哪怕在潮汕,你也能选择咸梅蒸鱼这样“安全”的特色美味。
当然,如果你实在抗拒不了各种生食水产的美味,即使有风险也愿意豁出去尝试,那么吃之前牢记这几点:
不要食用内脏、不要吃淡水生鱼片以及螺类(即使是冷冻也不可以,很可能含有肝吸虫)、不要食用新鲜宰杀、未经冷冻的生鱼片。
吃刺身时把眼睛瞪大喽,检查一下有没有肉眼可见的寄生虫;如果有,立即放下别再食用。即使去除了成虫,也可能还含有幼虫、囊蚴。
到资质齐全、环境好、值得信赖的餐饮店吃生鱼片,非常重要!对那些售价极低、卖相不佳、有异味的生鱼片留个心眼,别轻易尝试。
如果你是网上选购生鱼片,尽可能选择顺丰空运,防止变质。拿到货后不要立即食用,先按照FDA的冷冻要求进行冷冻。
如果你是个生鱼片的重度爱好者,每月吃生鱼片频次很高,那么记得要定期到医院排查有没有寄生虫感染。
最后,如果你是易感人群(老人、幼儿、孕妇以及免疫系统较弱的人),强烈建议不要冒险尝试了。
本文科学性已由 国家食品质量监督检验中心(上海)检验工程师 赵琨 审核
参考资料:
[1] 刘明远, 刘全, 方维焕, 尹继刚, 王学林, 李建华, ... 吴秀萍. (2014). 我国的食源性寄生虫病及其相关研究进展. 中国兽医学报, 34(7), 1205-1224.
[2] 王彩琴, 余新炳, 李学荣. (2015). 华支睾吸虫感染与胆管癌发生发展关系的研究进展. 中国寄生虫学与寄生虫病杂志, 33(2), 142-146.
[3] 唐磊, 葛涛, 尹世辉, 袁爽, 邢智锋. (2018). 三江平原地区华支睾吸虫病人群感染现状调查. 疾病监测, 33(6), 525-527.
[4] American Cancer Society. (2021).Known and Probable Human Carcinogens.
[5] 张贤昌, 裴福全, 张启明, 林荣幸, 黄少玉, 王金龙, ... 晁斌. (2010). 广东省部分地区淡水养殖环境卫生及华支睾吸虫中间宿主感染情况分析. 华南预防医学, 36(3), 9-13.
[6] 陈颖丹, 周长海, 朱慧慧, 黄继磊, 段磊, 诸廷俊, ... 周晓农. (2020). 2015 年全国人体重点寄生虫病现状调查分析. 中国寄生虫学与寄生虫病杂志, 38(1), 5.
[7] 广东统计局.(2020). 广东统计年鉴.
[8] 广西统计.(2020).广西统计年鉴.
[9] Poulin, R. (2016). Greater diversification of freshwater than marine parasites of fish. International Journal for Parasitology, 46(4), 275-279.
[10] Bari, M. L., Yamazaki, K. (Eds.). (2018). Seafood Safety and Quality. CRC Press.
[11] 詹美希.(2001).人体寄生虫学(第五版).
[12]张均和, 林启, 张乾通, 何伟贤, 李科峰, 徐徐. (2010). 舟山渔场鱼类异尖线虫感染现况及其理化耐受研究. 中华预防医学杂志, 44(11), 1037-1042.
[13] 日本厚生劳动省.(2020). 食物中毒资料统计.
[14] 张宇雷, 倪琦, 刘晃, 张成林. (2020). 挪威大西洋鲑鱼工业化养殖现状及对中国的启示. Transactions of the Chinese Society of Agricultural Engineering, 36(8).
[15] Levsen, A., Maage, A. (2016). Absence of parasitic nematodes in farmed, harvest quality Atlantic salmon (Salmo salar) in Norway–Results from a large scale survey. Food Control, 68, 25-29.
[16] FDA.(2021).Fish and Fishery Products Hazards and Controls Guidance.
[17] 国家卫计委.(2015). 品安全国家标准动物性水产制品.
[18] Podolska, M., Pawlikowski, B., Nadolna-Ałtyn, K., Pawlak, J., Komar-Szymczak, K., Szostakowska, B. (2019). How effective is freezing at killing Anisakis simplex, Pseudoterranova krabbei, and P. decipiens larvae? An experimental evaluation of time-temperature conditions. Parasitology research, 118(7), 2139-2147.
[19] 澎湃新闻.(2018).调查:虹鳟鱼被列为三文鱼,标准与现实还有哪些距离.
