姑娘感觉腰痛 仅过一个月就瘫了竟是毛毛虫般的病菌钻进脊髓医生:这病要早治 再晚就永远站不起来了
(记者徐睿捷 通讯员张全录)


患者小史,年方二十。突感腰痛,一月后竟瘫痪不能站起。家人用轮椅送至武汉市肺科医院,医生检查发现,是长得像毛毛虫一样的结核杆菌钻进了椎管,“啃噬”椎骨,压迫神经所致。再迟一步,就要大小便失禁,永久瘫痪。外科医生打开椎管,清除病菌及其制造的脓肿,通过植骨补好被啃噬椎骨。昨天,术后整四个月,小史竟然可以跑步了。医生说,这创造了脊柱结核病的康复奇迹。这个病,越早治越好!
小史是河南驻马店人,在东莞上班。一直身体健康的她,突然感觉腰痛,自以为休息几天就没事了,没想到情况越来越重,只好请假回驻马店。
回家没几天,小史腿脚渐渐不利索,最后竟不能站立,家人慌了,立即用轮椅推着来到武汉市肺科医院就医。
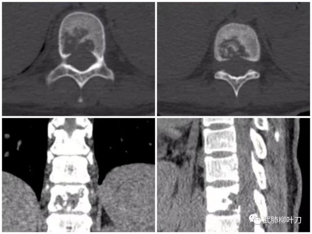
医生给她进行了检查发现,小史感染了结核杆菌。一开始,结核杆菌主要攻击肺部,但小史年轻,除偶尔咳嗽外,并无太多不适,所以并未让她察觉结核杆菌的存在。之后,结核杆菌随血流播散到脊椎。钻入椎管的病菌发现此处环境适合,就“安家落户”,大肆繁殖,并“啃噬”第十、第十一节胸椎,还形成脓肿,挤压椎管内的脊髓。
医生徐风:脊髓是大脑控制下半身的中枢神经通道,被挤压的神经组织因此受损。所以,小史渐渐瘫痪,不能站立。如果再拖延下去,中枢神经被进一步压迫,小史大小便就要失禁,整个下身也就与大脑失去联系而完全瘫痪。
根据检查结果,武汉市肺科医院外科主任戴希勇带领团队,迅速对小史进行了手术治疗。他们打开椎管,清理病菌及其造成的脓肿。并取小史自体骨骼,对受侵蚀的脊椎骨进行修补、加固。
手术成功完成,但已经被挤压受损的神经能恢复多少,在医学上,这是很难判断的。小史以后能否站立还是个问号。
术后,医生刘小玉、徐风持续跟踪、指导小史的康复情况,惊喜不断传来。术后一个月,小史在家人的搀扶下可以站立了。术后两个月,小史能够自由行走了。术后三个月小史已经能出门散步了。昨天,术后整四个月,小史已经开始跑步锻炼了。
徐风说,小史的康复效果,在脊椎结核病例中,算得上奇迹了。这主要受益于三方面因素:一是年轻,二是外科手术完美清除了病灶,解除了神经压迫。第三个最为重要,那便是到专业医疗机构就医比较及时。
图片说明:外科医生正在进行手术
