N海都全媒体记者 林宝珍 宁宇 陈钰涛
一名29岁的小伙,自小有心脏病,曾于10年前做过一次心脏手术,然而由于种种原因,心脏再次出现不适,气喘、胸痛等心衰症状越来越明显,甚至晕厥。检查显示,他竟同时存在4种心脏畸形,而且每一种都很严重,随时都可能要了他的命!
日前,省立医院心血管外二科翁国星主任医师团队接诊后,克服了重重困难,成功为该患者进行了复杂先天性心脏病手术,一次手术将四种畸形全部修复。手术很成功,术后第三天,患者就从ICU转到普通病房,第四天就能下地行走。目前,患者康复良好,近日可出院回家。
另据了解,由于患者家庭困难,翁国星教授团队还特别为他申请了白求恩公益基金援助,从而助他完成了手术治疗。
29岁小伙气喘、心衰,查出四种严重心脏畸形
患者手术前心脏彩超提示主动脉窦部瘤、室间隔缺损、三尖瓣、肺动脉瓣重度关闭不全四种严重心脏畸形
“小时候就发现有心脏病,身体一直不好,经常感冒,不能参加体育运动。但那时家里比较困难,十年前才到医院手术。”患者徐明(化名)来自安徽,目前在福州一家公司上班。实际上,在此次入院前3天,他就因为心脏不适,曾瞒着家人到省立医院的心外科门诊找翁国星教授看过。经验丰富的翁教授为其体格检查后就判断他的心脏存在畸形,“有明显的杂音,同时存在急性心力衰竭的症状。”
随后的心脏彩超,证实了翁教授的判断。
“患者存在4种心脏畸形——室间隔缺损残余大分流,肺动脉瓣重度关闭不全,三尖瓣重度关闭不全,主动脉窦部严重瘤样扩张。心脏在四种畸形的作用下,出现了明显扩大,约是正常人的两倍大小,同时合并快心室率的房颤,心力衰竭。”当时,翁国星教授就建议徐明赶紧手术治疗。
但了解到手术费用后,徐明犯难了,抱着 “抗一抗能过去”的侥幸心理,谢绝了住院治疗的建议。翁教授见状,留下了自己的联系方式,并告诉他,如果这几天觉得身体情况不对,早点来复诊。
就在当天晚上,徐明气喘、胸痛的症状越来越厉害,好不容易熬过了漫长的夜晚,第二天在家人的陪同下前往省立医院,准备住院治疗。没想到,刚到病房,他就晕了过去,经紧急抢救,才恢复意识。
每一种畸形都相当严重,术前还连出险情
徐明10年前便因为胸痛在安徽省三甲医院的心外科进行了室间隔缺损的修补及肺动脉瓣成形手术,为何又复发了呢?
“可能由于当时技术条件有限,患者仍有三种心脏畸形未得到很好的发现和治疗,或新出现并迅速进展,同时,原先修补好的室间隔缺损出现了补片边缘的撕裂,而再次出现了一个约1公分大小的缺损。这使得患者在10年间心脏病变情况不断加重,最终不堪重负而出现了心源性的晕厥和心力衰竭。”翁教授分析道。
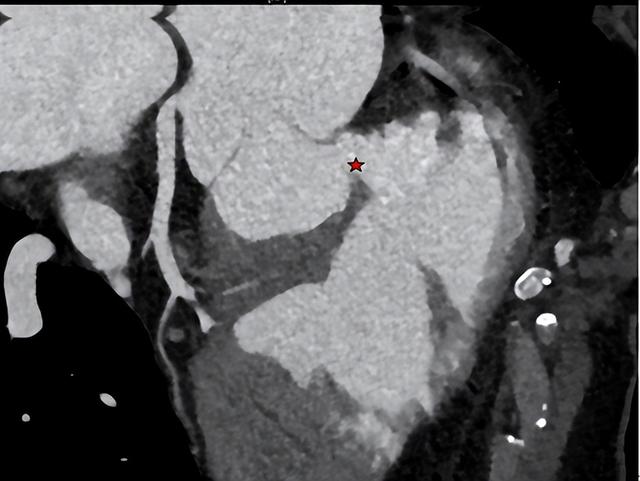
标红星处为室间隔残余缺损,直径约1.2cm
进一步心脏CT等检查显示,徐明的室间隔缺损直径达1.2cm,主动脉窦部瘤直径约6cm(正常约4cm),三尖瓣及肺动脉都有大量的反流。“这都是导致患者气喘、心衰的原因。”翁教授建议要趁患者年轻,积极加强抗心衰治疗,“一鼓作气纠正心脏存在的所有畸形,最大程度地恢复心脏正常的结构和功能,改善生活质量,保证满意的远期预后。”
但是,在术前准备期间,徐明又出现两次危险状况。先是因为严重的心衰,诱发了严重的心律失常,导致了心源性的休克;另一次,则是因为身体状态虚弱,导致不明原因的感染出现了感染性休克,又诱发了心力衰竭。
两次危急情况,均在翁国星教授及其医疗组的积极有效治疗下有惊无险地化解了,这坚定了徐明做手术的决心。细心的翁国星教授得知徐明家庭比较困难,还为他申请了白求恩基金会援助,从而彻底打消了他的顾虑。
手术在心脏“停跳”中争分夺秒进行
翁国星教授(右)在为患者手术
在心功能调整到最佳状态后,5月16日,徐明被推进了手术室。由于患者是第二次心脏手术,翁国星教授主导的手术团队严阵以待。
术中,团队发现,患者严重扩大的心脏,与胸骨紧密地贴在了一起,切开胸前的皮肤后需要用特制的电锯,一点点地锯开胸骨而不伤及心脏,同时,前一次手术造成心脏表面广泛黏连,需要精细分离,“打个不太恰当的比喻,这就像剥鸡蛋时要完整保持蛋壳上的薄膜一样,是一项极其精细的操作。”翁教授介绍。
随后,在患者心脏的大血管上插上管子,连接人工心肺机,开始体外循环,即用一个“备用发动机”替代心脏这个“主发动机”,使得心脏可以得到安静休息,让外科医生进行手术。
四种畸形都修复,心脏恢复轻快跳动
手术团队争分夺秒地使用头发丝粗细的特制缝线,将患者破败的“四畸”心脏一一修补好。
首先,用补片修补前一次手术残余的室间隔缺损;随后,对严重扩大的主动脉窦瘤进行高难度的修复成形;再次,对病变的三尖瓣和肺动脉瓣进行成形,并采取尽可能保留自体的瓣膜组织而避免终身口服抗凝药物的方案,一针一线进行高难度、精致的瓣膜修复,使得它们恢复正常的启闭功能……最后,开放心脏的供血。
恢复血运的心脏,没有了缺陷的束缚,轻快地跳动起来,各项指标均得到了明显的改善。在撤除人工心肺机并闭合胸前切口后,历时2.5小时的手术取得圆满成功,患者转入重症医学四科。
在监护室医生的悉心治疗下,术后第3天,徐明顺利转回普通病房与家人团聚;通过抗心衰、抗感染、增强营养等多重加强治疗下,如今已恢复健康,准备近日出院。
翁国星教授在给患者检查
排查先心,建议将心脏彩超列入体检项目
采访中,省立医院心血管外二科主任翁国星教授介绍,随着优生优育的观念深入人心,复杂的先天性心脏病的发生率明显下降,然而存活至成年的先心病患者却不在少数,这样的病人往往病情重,手术难度大,如未经手术治疗远期预后情况不佳。“有的先心可无症状,或症状不明显,如果做一次心脏彩超,就能及时发现。”因此,翁教授认为,有必要将心脏彩超列入体检项目。
团队介绍:
翁国星教授团队在为患者手术
据介绍,省立医院心血管外二科翁国星教授团队包括鲍家银主任医师,陈海宇副主任医师,郑富臻副主任医师,严李程医师,黄杰医师等,可开展各种成人及小儿的先天性心脏病外科手术及微创封堵手术;成人瓣膜外科的常规体外循环手术,胸腔镜微创手术及经导管介入瓣膜手术(主动脉瓣,二尖瓣),以及持续性房颤的外科消融手术(MAZE IV),提供一站式的心脏瓣膜外科解决方案,是省内危重心脏病患者手术经验最丰富、综合实力最强的团队之一。
同时,该科也是中国白求恩基金会的定点合作对象,可为贫困患者提供一定程度的经济援助,减轻患者家庭及社会负担。自2017年至今,已累计帮助贫困心脏病患者120余人次,发放手术补助400多万,并先后到古田、宁夏、赣州等地开展会诊手术及义诊,获得好评。
编辑:白白
