首例猪心移植细节全面披露:患者体内发现人类疱疹病毒,死后心脏重量翻倍,心肌细胞纤维化丨团队最新论文
首例猪心移植细节全面披露:患者体内发现人类疱疹病毒,死后心脏重量翻倍,心肌细胞纤维化丨团队最新论文 2022年06月25日 12:51 量子位
明敏 发自 凹非寺
量子位 | 公众号 QbitAI
在首例猪心移植患者去世几个月后,关于他死因的探究还在继续。
是否和排异反应有关,成为了众人关注的焦点。
最近,《新英格兰医学杂志》刊登论文,披露了这场手术前后的更多细节。
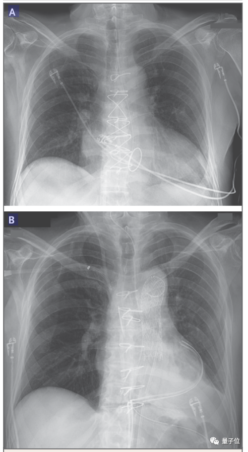
论文中表明,患者死后心脏重量几乎增加了一倍,从328克增长到600克。
心脏中出现了纤维化组织,伴有红细胞外渗现象。
△图B中患者心脏增大
同时,医生还在患者肺部发现了人类疱疹病毒(HHV-6)。
这种病毒能够和移植心脏中检出的猪巨细胞病毒,发生交叉反应;还与异种移植排斥有关。
不过,研究人员也表示,患者心脏出现的异常现象,和典型的器官移植导致的排异反应并不一致。
但目前也还无法证明,患者是否死于病毒感染。
心脏重量从328克升高到600克
这篇论文详细披露了患者移植前后的各项细节,包括移植心脏的情况、患者自身健康以及术后用药等。

尸检结果发现,移植心脏确实出现了大问题。
最为明显的现象,就是心脏的重量几乎翻了一番。医生解释,这主要是因为血管出现了渗漏的迹象。
同时,还出现了部分心肌纤维化的迹象。
一般来说,心肌纤维化是心肌坏死后的反应,而且这种反应还不可逆转,许多心脏病晚期都会出现这种现象。
不过研究人员强调,这些问题和典型的异体器官移植排异现象,并不一致。

而另一个人们非常关心的问题——移植心脏上是否携带病毒,在这篇论文中也详细给出了回答。
据介绍,这颗经过基因编辑的猪心脏,在移植前仅携带有猪内源性逆转录病毒PERV-A和PERV-B,并未检测到PERV-C、猪巨细胞病毒和猪嗜淋巴疱疹病毒。
至于为何在术后20天时,从患者血液中检测到低水平的猪巨细胞病毒,论文依旧没有给出解释。
当时,随着血液中猪巨细胞病毒水平升高,医生一边使用了原本用于艾滋病患者巨细胞病毒感染的疗法,另一边还给患者注射了人类免疫球蛋白以增强抵抗力。
随后,患者身体情况有所缓解,在术后48天时甚至能下床活动。
不过紧接着,他的情况就急转直下,检测发现移植心脏的心脏壁异常肥大、心室体积缩小,体内对猪组织的抗体水平也在不断升高。
医生们认为,这或许是因为出现了抗体介导的非典型免疫排斥现象。
最终在移植60天时,患者由于心脏损伤过重,不幸离世。
One More Thing
随着首例猪心移植手术的完成,社会各界对异种器官移植的关注度也在不断升高。
虽然它能缓解当下器官移植供体紧张的问题,但同时也带来很多风险和担忧。
“免疫排斥”、“跨物种生物安全”、“社会伦理”成为了学界、社会普遍担心的几大问题。
而另一个方向——3D打印器官,或许也值得我们关注。
最近,世界首例3D打印耳朵移植手术完成。
一位20岁的墨西哥女孩,通过3D打印的胶原水凝胶支架和自身细胞培育的软骨组织,成功获得了一个可移植的左耳。

而且因为手术使用自己的细胞,所以产生排异反应的概率会降低。
这例手术由美国再生医学公司3DBio Therapeutics提供支持。
据其高管透露,未来他们还将尝试打印其他身体部位,如脊柱、鼻子等。
论文地址:https://www.nejm.org/doi/pdf/10.1056/NEJMoa2201422
