今天,“一女子五脏六腑全部反着长”的消息冲上微博热搜榜。近日,广西南宁一女子上腹不适,就医后发现身上长了一个巨大血管瘤,而且器官内脏还是反着长的。

主角被人一枪击中心脏位置,
竟然奇迹般“复活”,
原来是因为他的心脏与常人相反,
长在了右边。
没想到这种电影中常常会有的情节,
竟然在现实生活中。
现实生活中有这样特殊的一群人,他们的五脏六腑全部“反转”,就像镜子里“照”出来的一样,也因此被称为“镜面人”。
近日,南宁卢女士因上腹不适,到广西医科大学附属武鸣医院就医。医生检查后发现,卢女士不仅长了一个巨大血管瘤,而且器官内脏还是反着长的!
▲“镜面人”的五脏六腑是“反转”的。图片来源:广西医科大学附属武鸣医院
据医生介绍,卢女士的血管瘤体积巨大,已经占据她整个右肝范围,必须进行手术。但是,血管瘤一旦在术中破裂,止血异常困难,手术可能危及生命。此外,卢女士反着长的器官极大增加了手术难度,属于国内外均罕见记载的疑难手术病例,手术困难重重,风险很大。
历时5个小时的手术后,医生从卢女士体内切除出一个15×14×12厘米的巨大血管瘤。目前,卢女士恢复良好,已顺利出院。
广西医科大学附属武鸣医院肝胆外科主任黄海介绍,“镜面人”是完全性胸腹腔内脏器反位(SIT) 的俗称,是指胸腹腔器官以及腹膜外的肾脏、肾上腺等均与正常解剖位置呈镜像分布,通俗来讲就是五脏六腑反着长。
“镜面人”为罕见的先天性畸形,发病率约为百万分之一,而同时患有巨大肝血管瘤的概率仅千万分之一。

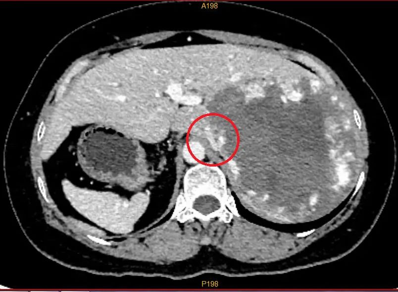
▲CT拍片可见卢女士腹腔脏器完全反位,胃及脾在右边,反位的右肝在左边,红圈处标记的下腔静脉已被巨大血管瘤压迫包绕,粘连浸润明显。图片来源:广西医科大学附属武鸣医院
黄海提醒,这种内脏反位通常不影响人的健康,但是一旦患病就会给治疗特别是手术治疗带来巨大障碍。市民对自己的身体状况要有基本的认知,如有像“镜面人”这样特殊的生理结构,要明确告知身边人,去医院就诊时要及时告知医生,以免发生误诊。




来源丨南国早报、新浪微博
编辑 | 韩雨萌
责编 | 李羽
