“王主任,体检报告说我肺里有多发性结节,我自己查了一下,也许这一次又要麻烦您了。”
近日,杭州市第三人民医院外科主任王海明主任医师接到了小杨(化名)的电话。

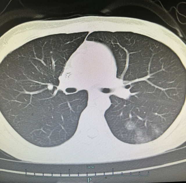
“肺部CT提示双肺有多个结节,部分为磨玻璃影”,王海明结合病史和肺部CT检查,面色有些凝重,“这肺部结节恶性的可能性很大。”
考虑到小杨的身体原因,王海明为她进行了PET/CT检查,结合PET/CT结果,小杨和王海明心中“最坏的猜测”还是被证实了!
“肺部结节考虑为恶性肿瘤”,可小杨只是平静地接受了这个结果,进入外科病区,准备接受进一步的诊治。
10年5次与癌症抗争
瘦弱的单腿姑娘
却有着无比坚韧的力量!

这已是24岁的小杨在近10年间第5次准备与癌症抗争。
“第一次是2012年春天,我14岁。在一次体育课跑步时候,我突然感觉右边大腿酸痛。一开始只以为是肌肉拉伤,可这一痛就持续到了晚上,根本睡不着觉。”
在当地医院检查后考虑小杨为右侧股骨恶性肿瘤,母亲赶紧将她送到了浙江大学医学院附属第二医院骨科进行治疗。经过反复考虑,小杨的(右股骨)骨肉瘤,不得不通过全麻下右侧大腿根部截肢来治疗。术后病理报告显示:骨母细胞增生,以巨细胞性骨母细胞增生为主,侵犯骨旁软组织。小杨来到了杭州市第三人民医院开始为期6次的术后化疗。
接受自己失去右腿事实的小杨,一路发奋学习,考上了自己心仪的大学。
本以为自己的厄运总算结束了,可2018年,小杨在体检中发现了又左侧乳腺肿瘤。面对术中冰冻显示的恶性肿瘤结果,王海明为她施行了“左乳肉瘤扩大切除术”,并随后进行化疗6次。
2020年,才刚回归校园不久的小杨,第三次遭遇癌症。
这一次是右侧乳腺肿瘤。王海明带领团队为她施行了“右乳癌保乳根治+切除前哨淋巴结+右侧腋窝淋巴结清扫”。术后病理为浸润性导管癌III级,恶性程度极高,比左侧的肿瘤更严重了。小杨再次接受了8次化疗及放疗。

“最近一次与癌症的对抗,就在今年年初,当时我老感觉恶心,上腹部痛,吃东西想吐,经常打嗝、反酸”,很有警惕性的小杨发现了自己的“不对劲”。
但可能要面对第四次癌症,就让她有些崩溃,直到消化道症状逐渐加重,进食后呕吐宿食,甚至到无法进食,才到王海明处就诊。
不幸的是,胃镜结果”无情“地提示:胃癌。
多年来,连续的手术、化疗、放疗,已经让她的身体十分脆弱。在综合评估各项条件和风险后,王海明及团队在全麻下为她进行“胃癌根治术+肠粘连松解术”。
术后,小杨正在进行胃癌术后化疗6次,可没想到,癌症又来了。

如今,虽然身高165cm的她,只有66斤,已数不清自己是第几次住进病房,但她依然对未来抱有希望。
病友们时常可以看到单腿的她,拄着拐杖,微笑真进行绕圈锻炼。
“来日并不方长。爸爸妈妈已经不在了,但我要和妹妹活得更幸福,一起想做的事、想爱的人、想去的地、想吃的美食……不留遗憾。”
虽然癌症生存时间延长
但有家族史的市民
每年请做好这件事!
医学上,像小杨这样连续患癌的患者相对比较罕见。
王海明介绍,与癌症的转移及复发不同,这种机体同时或相继发生了两个或两个以上彼此无关系的原发性恶性肿瘤,被称为“重复癌”,又称“多原发癌”。
据文献报道,重复癌的发病率介于0.4%~3.5%之间。但从临床上来看,随着诊疗水平的提高,癌症患者生存时间延长,以及环境等因素的影响,重复癌的发现目前有一定的上升趋势。

重复癌有一定的遗传性,有肿瘤家族病史的人群,需要特别留心。
“遗传性并不是指父辈患癌,子女一定也会患癌,而是相对常人来说,有家族史的人更容易患癌。这就是‘易感性’。如果家中有多人患肿瘤,子女遗传的可能性则会更大。”
王海明提醒,有家族史的人除了每年一次的常规体检外,从35岁开始,每年至少做一次防癌筛查。同时,有条件的可到医院进行遗传基因咨询和检测,明确是否携带缺陷基因,从而更精准、积极地进行预防。

